The WSU Spokane Histology Service Center provides high-quality, research-grade histology and pathology. We can help with all steps from sample collection to data analysis.
Histology is performed by service center staff. Training is available so that research staff understand the process. Contact us before you start your experiment so we can help you integrate histology with any other tissue-dependent assays you intend to perform.
Please complete our sample submission form and deliver it alongside your samples. Blocks will be returned to the researcher when the project is complete.
Rates
New prices, effective July 1, 2020. As a reminder, when proposing studies or submitting a grant, plan for a 3 to 5 percent yearly rate increase.
| Histology | Rate | Additional Rates |
|---|---|---|
| Cryostat | $7 slide (1 slice/slide) | $3.50/slice |
| Decalcification | $15/sample | N/A |
| Process Run | N/A | N/A |
| H&E slide* | $17.50/slide | N/A |
| Processing and Embedding | $5/block | N/A |
| Small Processor Run | $40/run | N/A |
| Embed Only | N/A | N/A |
| Single Section Only | $5.50/slide | $3.50/slide |
| H&E Stain Only | $6/slide | N/A |
| Serial sectioning | $50/hr + cost of slides | N/A |
| Special Stain | Request a quote | N/A |
| Immunohistochemistry | Request a quote | N/A |
| Technical Support | $45/hr | N/A |
| Cardboard Trays | $5/tray | N/A |
| Slide Boxes | $8/box | N/A |
H&E slide price does not include the processing fee for small runs of 25 or fewer blocks (see next footnote).
An additional fee will be assessed for small runs consisting of 25 or fewer blocks or a specialty run. Runs can be combined with other labs to reduce the cost.
For additional information on sample collection and preparation prior to histology, see the SOPs below:

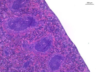
Mouse Spleen: H&E

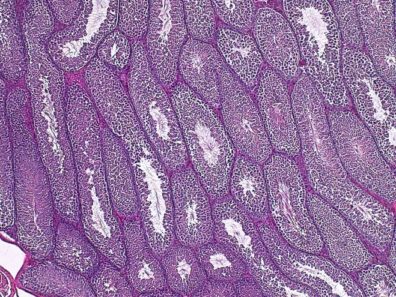
Mouse Testes: H&E

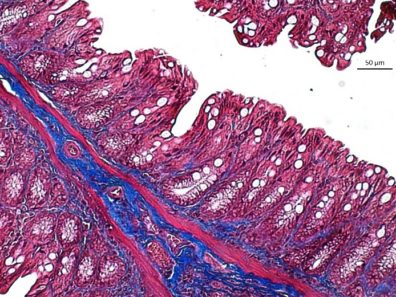
Mouse Intestines: Masson’s Trichrome

Mouse Uterus: Masson’s Trichrome

Mouse Skin Toluidine Blue

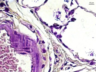
Mouse Lung Brown Hopps Modified Gram Stain